UCSB researchers develop a genetic sensor that could allow MRIs to image molecular-level changes

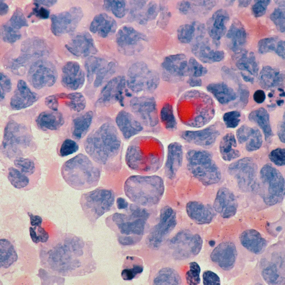
Microscopic view of Acute Myelocytic Leukaemia